
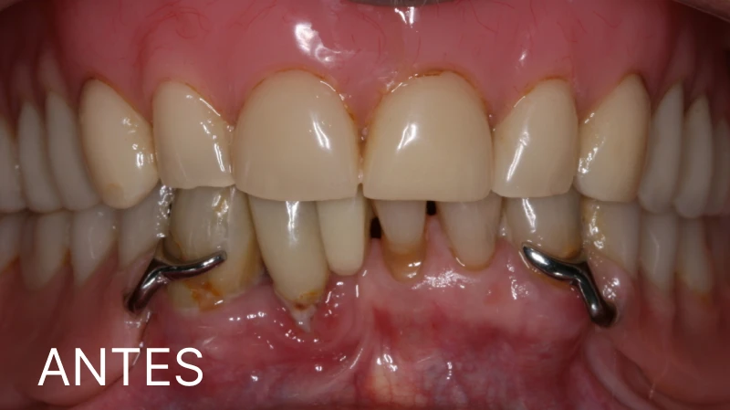
Reposição definitiva para dentes perdidos com estabilidade, conforto e aparência natural. Procedimento
seguro e planejado para devolver mastigação e confiança.
Reposição definitiva para dentes perdidos com estabilidade, conforto e aparência natural. Procedimento seguro e planejado para devolver mastigação e confiança.
Implantes e próteses estáveis que devolvem confiança para sorrir e conversar.
Facilidade para comer alimentos que você evitava, melhorando saúde e qualidade de vida.
Laboratório interno reduz o tempo de espera e acelera ajustes essenciais.
Abordagem integrada que evita retrabalhos e garante resultado final mais previsível.
Cada decisão clínica é baseada em evidências científicas , técnicas consagradas e práticas clínica de mais duas décadas.
Exames digitais que permitem visualizar cada
detalhe antes de iniciar o tratamento, garantindo previsibilidade e segurança.
Processos definidos para cada tipo de reabilitação, o que aumenta a qualidade, evita falhas e mantém o mesmo nível de excelência em todos os casos.
Acelera decisões, evita atrasos e garante que todo o processo siga o mesmo padrão de qualidade.
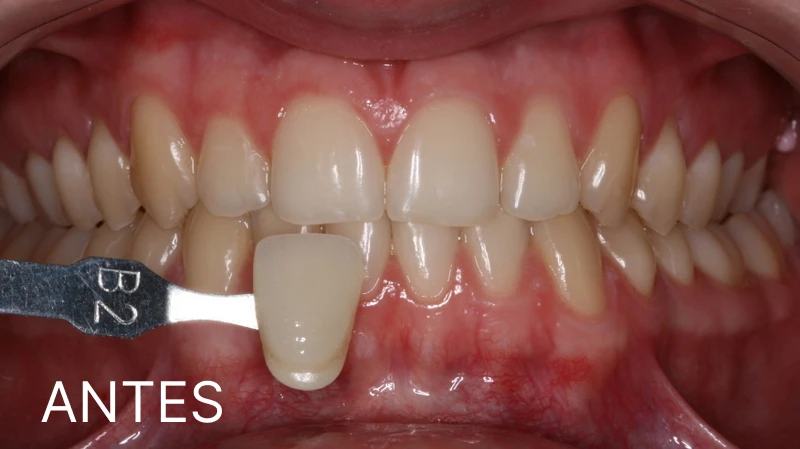
Correção estética para cor,
forma e alinhamento com resultado natural e duradouro.
Substituição de restaurações antigas
por materiais resistentes e com aparência uniforme.

Soluções personalizadas que reduzem o ruído noturno e melhoram a qualidade do sono.

Terapias específicas para dor,
estalos e desconfortos na articulação
da mandíbula.
EXCELENTE Com base em 72 avaliações Publicado em Marileia GomesTrustindex verifica se a fonte original da avaliação é Google. Parabéns pelo excelente trabalho, Dr. Argemiro! Profissionais como você merecem todo reconhecimento.Publicado em Junior JuniorTrustindex verifica se a fonte original da avaliação é Google. Clínica muito bem equipada, com funcionários atenciosos, e excelentes serviços prestados pelo Doutor ARGEMIRO e demais profissionais. Além disso, a qualidade dos materiais empregados pelo Doutor ARGEMIRO também fazem a diferença.Publicado em Ísis ShandraTrustindex verifica se a fonte original da avaliação é Google. Dr Argemiro é super atencioso e competente. Indico de olhos fechados.Publicado em Jorge Hector Rebollo SqueraTrustindex verifica se a fonte original da avaliação é Google. Faz mais de 25 anos que seu atendido pelo Dr. Argemiro. Profissional de alta capacidade, eficiência e responsabilidade.Publicado em Patrícia Rocha Kawase Mattoso de SallesTrustindex verifica se a fonte original da avaliação é Google. Eu e minha família somos atendidas pelo dr. Argemiro há mais de 15 anos e só temos elogios a fazer pelo seu profissionalismo, eficiência e resolubilidade de toda a equipe. Também sou dentista e por isso recomendo fortemente o tratamento nas especialidades. Deixo um abraço especial à Francine que sempre está de prontidão para viabilizar o atendimento.Publicado em Vini BevilacquaTrustindex verifica se a fonte original da avaliação é Google. Dr. Argemiro é, sem sombra de dúvidas, o melhor dentista que eu conheço. Ele é um entusiasta das mais novas tecnologias, possui um consultório muito equipado e está por dentro de tudo que é novidade no mundo odontológico e da sua especialização. Além de ser uma pessoa muito simpática, é também muito educado e cuidadoso. Para além do profissional, o seu corpo clínico é fantśtico. A equipe que auxilia nos tratamentos e o atendimento da recepção são incŕiveis!Publicado em Marco Antonio de SouzaTrustindex verifica se a fonte original da avaliação é Google. O Dr. Argemiro Souto é um excelente profissional, extremamente competente e apaixonado pelo que faz. Sempre fui atendido com muita atenção e cuidado, tanto por ele quanto pela Francyne. Já o conheço há mais de 20 anos e continuo realizando todos os meus tratamentos dentários com ele, sempre com total confiança e tranquilidade.Publicado em Sonia VieiraTrustindex verifica se a fonte original da avaliação é Google. Otima experiênciaPublicado em marita dbetioTrustindex verifica se a fonte original da avaliação é Google. Quando vim morar em Florianópolis, precisava de um Odontólogo para realizar meus tratamentos dentários e, como não tinha nenhuma indicação, procurei na Internet e li alguns comentários positivos sobre o Dr. Argemiro Souto. Desde então faço os mais diversos tratamentos com ele num só lugar, cujo profissionalismo é inquestionável, além de ser atualíssimo nas mais diversas técnicas da medicina odontológica.

